What is a ceramic restoration?
At Sydney Holistic Dental Centre, we use biocompatible materials to undertake restorations which can reduce the chance of cracking more of your teeth and losing more original tooth structure.
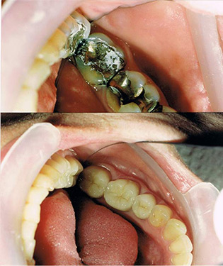
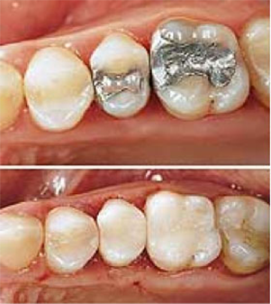
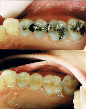
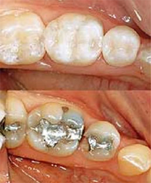
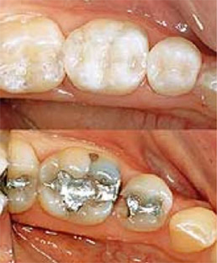
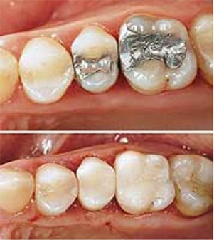
A ceramic restoration is an inlay filling that is milled using a CEREC machine. This allows you to have a long lasting filling that traditionally required two appointments to be placed in the single visit.
There are many advantages to having a ceramic restoration including:
- Reconstructions with maximum strength and great looks.
- Reconstructions that result in long lasting, strong & beautiful teeth.
- Restorations can usually be done in one appointment.
- Protects and preserves your own tooth’s structural integrity
- Ceramics are bio-compatible
- No impressions, no temporaries- no need for a second injection
- Only one appointment
- Strength of gold, looks of natural teeth
- Long lasting and durable
- Unquestionably the most cost effective, durable and aesthetic restoration we have available today
There are a number of symptoms that may tell us you have a cracked tooth. These include:
- Sensitivity to cold or heat
- Tenderness on chewing food
- Sensitivity to sweet foods
- Tooth has broken
As the gateway to the respiratory system and the digestive tract, it is important that everything in your mouth is working optimally.
There are a number of procedures that can utilise CEREC and ceramic restorations:
Fillings (inlays/onlays)
Decay and old filling material can be removed, individually manufactured fillings can then be fitted exactly to suit each individual. Depending on the severity, the entire procedure may be completed within one visit.
Porcelain Veneers
Malpositioned and discoloured teeth can be restored with porcelain veneers. Veneers are thin shells of porcelain that are custom made to fit on the front of your natural teeth. They allow your dentist to change the shape, colour and length of your teeth.
Porcelain Crowns
A porcelain crown restores missing or reduced tooth surfaces by providing coverage over all areas of your tooth. Your natural tooth is then protected and can function normally. Using CEREC there are no impressions and no temporary crowns. A treatment may be completed within one visit.
Once your dentist determines that CEREC is the correct course of treatment, your visit will begin by preparing the tooth. Any decay, if present, is removed, leaving as much as possible of your healthy tooth to support the CEREC restoration. Your dentist will then use a specially designed electronic camera that creates a digital 3D model of your tooth.
You can then watch our Dentist design your new restoration on a computer screen using the 3D image created by the camera. A solid block of porcelain ceramic is inserted into the machine and automatically converted to exactly match this computer model.
Special tools then sculpt your restoration to the finest detail based on the restoration designed on the CEREC computer.
The completed restoration is then bonded into your mouth. The custom made restoration is completed and placed in your mouth with the whole process being done in one appointment. CEREC restorations are natural looking, smooth white and hard-wearing, just like the enamel surface of the rest of your teeth.
The ceramic material is biocompatible and is not affected by hot or cold. Ask your dentist for more details about CEREC or make an appointment for a check up today.
Commonly Asked Questions
If you are suffering decay and/or defective fillings then CEREC restoration might be right for you. Dental decay results from acid attacking the tooth surfaces. Acid is produced when sugar from foods we eat comes in contact with plaque bacteria on and in between the teeth. Each sugar intake produces up to 30 minutes of acid production. If decay is not detected, it can cause extensive damage to the tooth.
The name CEREC comes from Ceramic Reconstruction.
CADCAM stands for Computer Aided Design/Computer Aided Milling.
CADCAM has been around since the late 1980’s. It has improved drastically in recent decades. The CEREC machine used at SHDC utilises CADCAM to produce ceramic reconstructions.
There are many benefits:
- The complete restoration can be performed in just one visit to your dentist
- Each restoration is custom-made to fit your tooth because it is made from an exact modal of your individual tooth.
- Comfortable fit to suit your needs.
- Protects and preserves your own tooth’s structural integrity.
- High quality, long lasting and durable.
- Cost effective solution for complete restoration.
- Metal-free restorations.
Contact Us
Schedule Your Next Appointment or Send Us An Enquiry






